Removable

可拆卸探头设计

采用可拆卸探头设计,使探头和主机分开,随时更换所需探头或主机, 减少购置成本
  • Replace

    多探头选择 全临床应用

    有线阵、大凸、微凸、腔内等多种可选探头,
    根据不同应用部位进行更换,提供全临床应用解决方案。
  • 线阵

    甲状腺
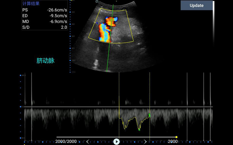
    血管
    神经
    肌骨等

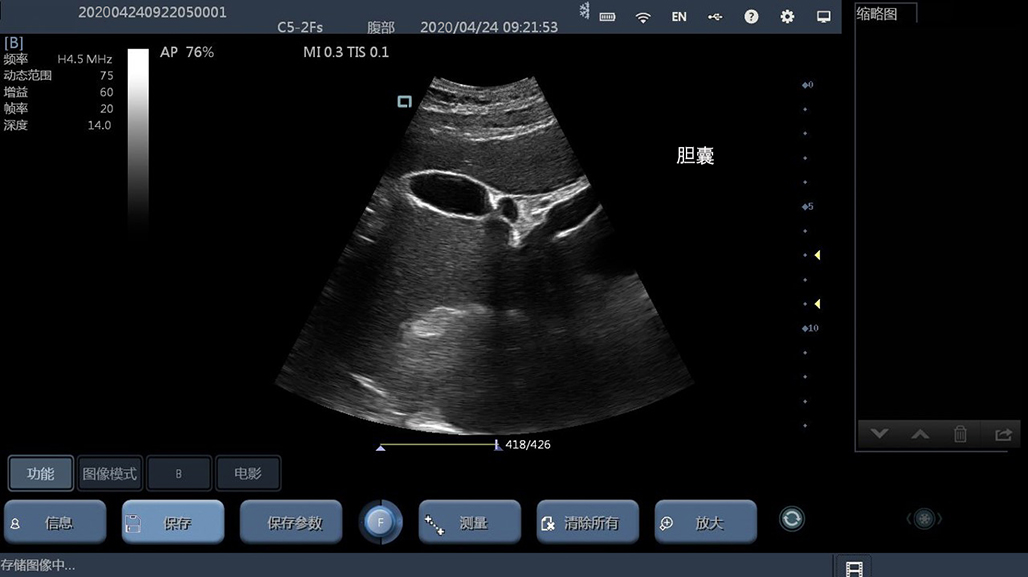
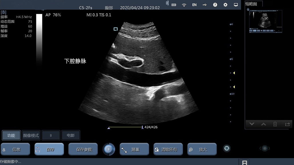
  • 微凸

    腹部
    肾脏
    新生儿颅脑
    及心脏
    小动物等

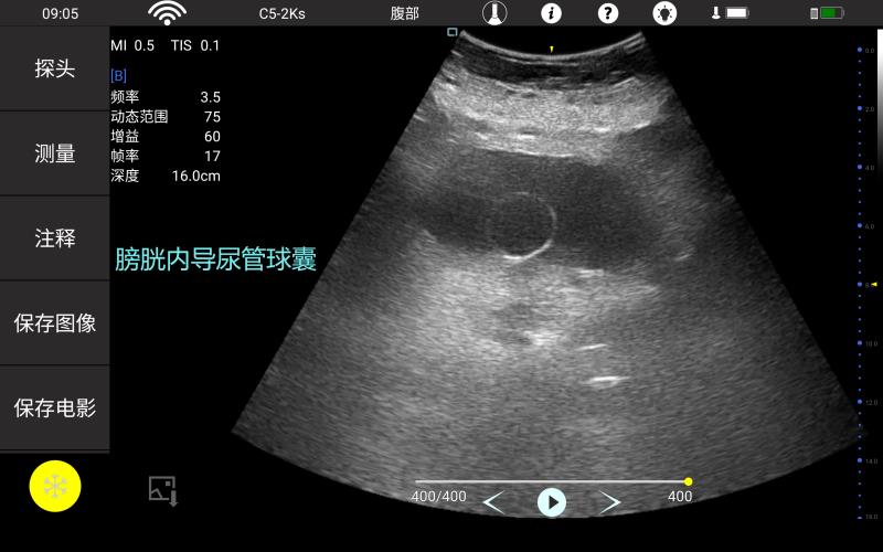
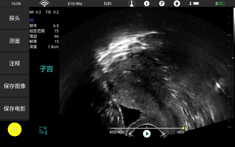
  • 腔内

    妇产科
    泌尿科

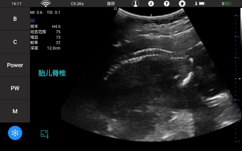
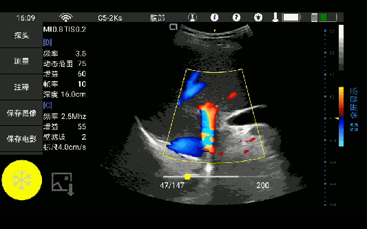
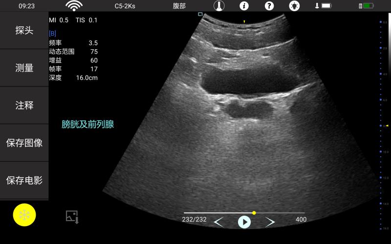
  • 大凸

    腹部
    肾脏
    妇科产科
    心脏
    肺等

  • 线阵

    甲状腺
    血管
    神经
    肌骨等

Multi-Mode

多模式支持

Teleconsultation
无线互联网

远程会诊解决方案

01

支持无线WiFi及有线USB连接,
可实现互联网远程会诊;
WiFi正常连接范围≥6m;

02

支持Windows/Android系统,
通过互联网将超声图像发送到远端;
多种专科软件包,含常规测量,腹部,产科,
妇科 心脏,小器官,神经应用软件包,使检查更便捷。

Visualization tool

临床应用方向

01 可视化工具

支持无线WiFi及有线USB连接,
可实现互联网远程会诊;
WiFi正常连接范围≥6m;

02 应急检查

急救门诊科室,ICU病房
野外急救,部队战场抢救等

03 初步筛查

病房巡诊,基层检查、体检、
健康筛查、计生检查、家庭护理等

04 远程诊断·会诊·培训

通过手机/电脑显示
通讯功能强大,便于实现

? 2023深圳市ty8天游平台登录科技股份有限公司版权所有 粤ICP备05062090号